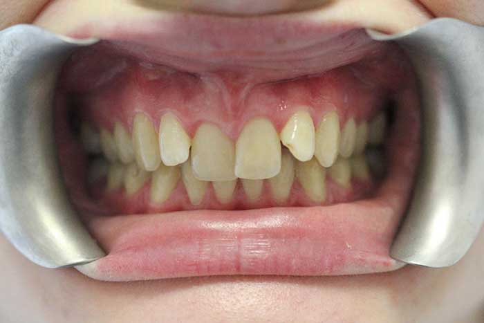
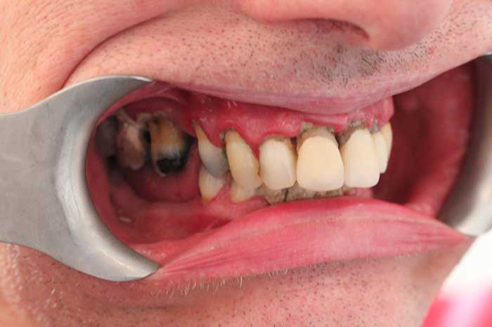
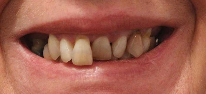
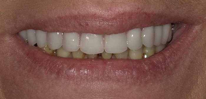
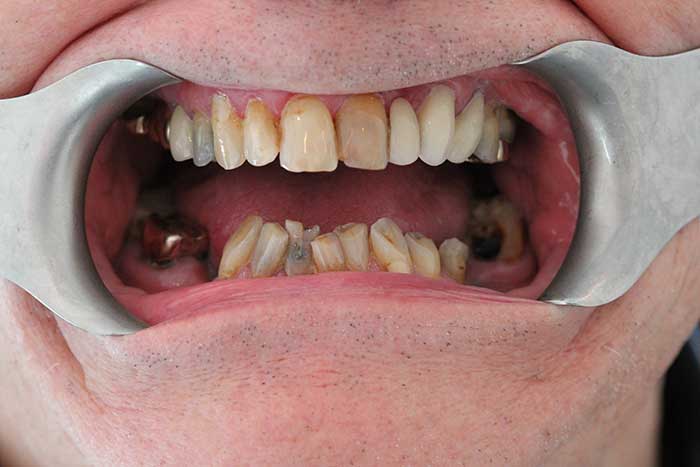
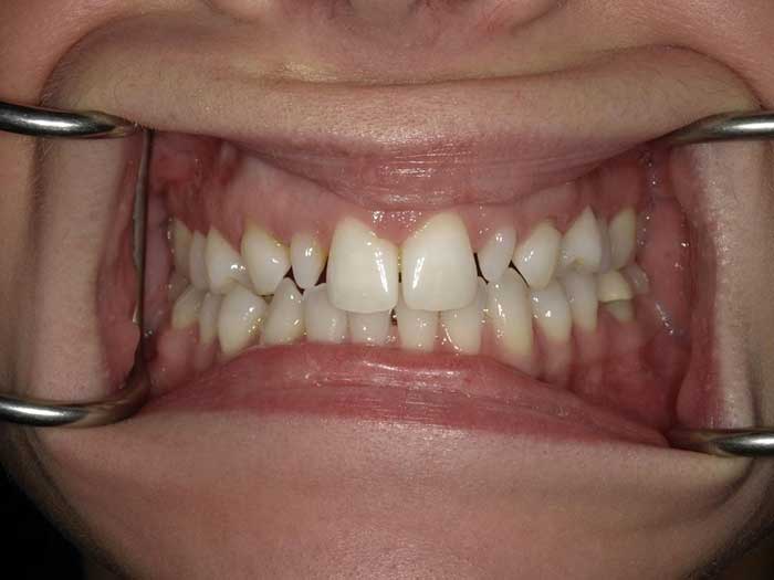
Gallery
At Broad Lane Dental Surgery, we are proud of the cosmetic and dental surgery we offer our patients across Coventry and the West Midlands.
Get in touch
Take a look at the work we have done over the years to discover what we could do for you.



























































